韦氏芽孢杆菌T23的固态发酵产物可缓解幼年转基因养殖罗非鱼(GIFT、尼罗罗非鱼)的肝脂肪变性、氧化应激、肠道屏障损伤和微生物群失调
发布时间:2025-02-17
点击量:
【字体:大 中 小】
题目:Dietary Solid-state-fermentation product of Bacillus velezensis T23 alleviate hepatic steatosis, oxidative stress, gut barrier damage, and microbiota dysbiosis in juvenile genetically improved farmed tilapia (GIFT, Oreochromis niloticus)
作者:Qiang Hao, Rolf Erik Olsen, Einar Ringø , Qianwen Ding, Tsegay Teame, Yuanyuan Yao, Chao Ran, Yalin Yang, Zhen Zhang, Zhigang Zhou
刊物名称:Aquaculture Reports
发表年份:2025
摘要内容:益生菌制品已成为集约化水产养殖中众多抗生素替代方案的首选。然而,对于水产动物土著益生菌在水产养殖中作为添加剂的应用却鲜有报道。
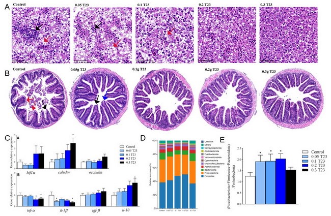
研究人员通过组织形态学、分子生物学和肠道微生物组学等手段,评估基础饲料中不同添加梯度(0.05g/kg,0.1g/kg,0.2g/kg,0.3g/kg)水产动物土著益生菌贝莱斯芽孢杆菌T23固体发酵产物对吉富罗非鱼肝脏脂质代谢与氧化应激水平、肠道屏障与免疫、肠道菌群结构的影响。结果表明,饲料中添加T23可有效缓解吉富罗非鱼因脂肪过度积累引起的肝脏炎症和氧化应激,对改善罗非鱼肠道的结构完整性、屏障功能和免疫应答及肠道菌群结构和多样性具有显著作用。低剂量添加T23显著提升了
肠道菌群健康指数“(梭杆菌门+厚壁菌门+拟杆菌门)/变形菌门”,显著改善吉富罗非鱼肠道菌群结构和多样性。剂量为0.2 g/kg T23时效果最为积极,对提高吉富罗非鱼养殖的盈利能力和生产力具有重要作用。

原文链接:https://www.sciencedirect.com/science/article/pii/S2352513424006112